ΕΠΙΣΤΗΜΕΣ
Νέο εργαλείο τεχνητής νοημοσύνης μπορεί να εντοπίσει με ακρίβεια τον καρκίνο
Το νέο σύστημα τεχνητής νοημοσύνης είναι πιο αποτελεσματικό από τις τρέχουσες μεθόδους, σύμφωνα με τους ερευνητές.
Γιατροί, επιστήμονες και ερευνητές δημιούργησαν ένα μοντέλο τεχνητής νοημοσύνης που μπορεί να αναγνωρίζει με ακρίβεια τον καρκίνο, σε μια εξέλιξη που, όπως λένε, θα μπορούσε να επιταχύνει τη διάγνωση της νόσου και να οδηγήσει τους ασθενείς σε ταχύτερη θεραπεία.
Ο καρκίνος αποτελεί κύρια αιτία θανάτου παγκοσμίως. Προκαλεί περίπου 10 εκατομμύρια θανάτους ετησίως, ή σχεδόν έναν στους έξι θανάτους, σύμφωνα με τον Παγκόσμιο Οργανισμό Υγείας. Σε πολλές περιπτώσεις, ωστόσο, η ασθένεια μπορεί να θεραπευτεί εάν εντοπιστεί έγκαιρα.
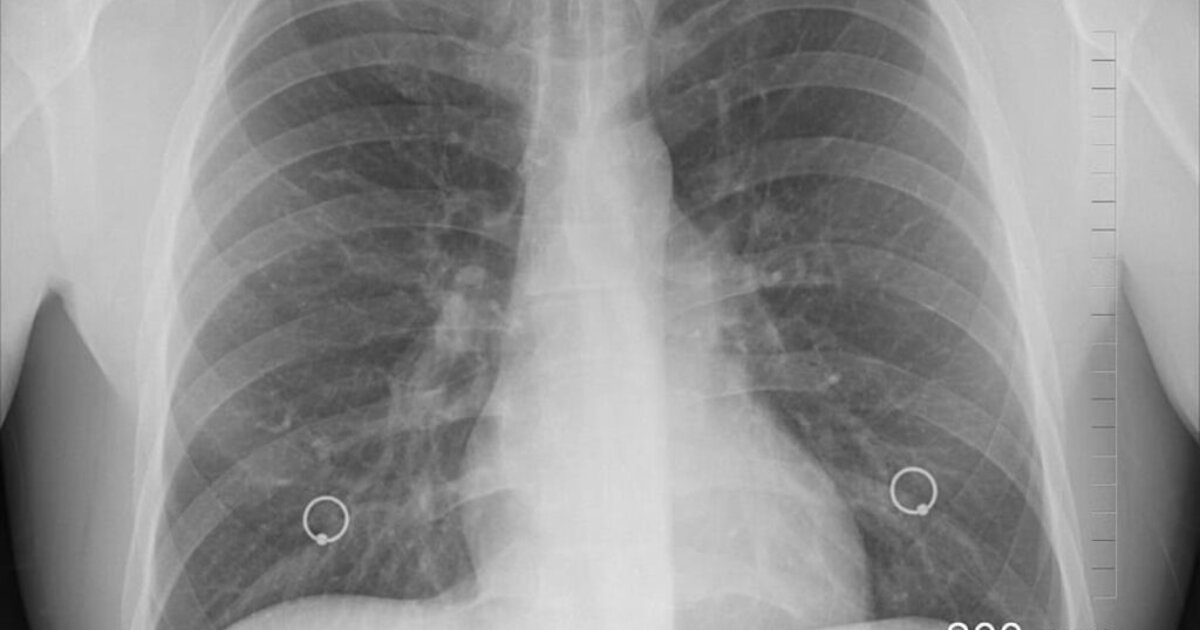
Το εργαλείο τεχνητής νοημοσύνης που σχεδιάστηκε από εμπειρογνώμονες του Royal Marsden NHS foundation trust, του Ινστιτούτου Έρευνας για τον Καρκίνο του Λονδίνου και του Imperial College του Λονδίνου μπορεί να εντοπίσει αν οι όγκοι που εντοπίζονται σε αξονικές τομογραφίες είναι καρκινικοί. Σύμφωνα με μελέτη που δημοσιεύθηκε στο περιοδικό «eBioMedicine» του Lancet, ο αλγόριθμος αποδίδει πιο αποτελεσματικά και αποδοτικά από τις τρέχουσες μεθόδους.
«Στο μέλλον, ελπίζουμε ότι η τεχνολογία αυτή θα βελτιώσει την έγκαιρη ανίχνευση και ενδεχομένως θα καταστήσει τη θεραπεία του καρκίνου πιο επιτυχημένη, επισημαίνοντας τους ασθενείς υψηλού κινδύνου», δήλωσε ο Δρ Μπέντζαμιν Χάντερ, ειδικευόμενος κλινικής ογκολογίας στο Royal Marsden και κλινικός ερευνητής στο Imperial.
Η ερευνητική ομάδα χρησιμοποίησε αξονικές τομογραφίες περίπου 500 ασθενών με μεγάλους πνευμονικούς όζους για να αναπτύξει έναν αλγόριθμο τεχνητής νοημοσύνης με τη χρήση της ακτινολογίας. Η τεχνική μπορεί να εξάγει σημαντικές πληροφορίες από ιατρικές εικόνες που δεν εντοπίζονται εύκολα από το ανθρώπινο μάτι. Στη συνέχεια, το μοντέλο τεχνητής νοημοσύνης δοκιμάστηκε για να διαπιστωθεί αν μπορούσε να εντοπίσει με ακρίβεια τους καρκινικούς όζους.
Τα αποτελέσματα έδειξαν ότι το μοντέλο τεχνητής νοημοσύνης μπορούσε να προσδιορίσει τον κίνδυνο καρκίνου κάθε όζου με μεγάλη ακρίβεια (AUC 0,87). Σύμφωνα με τη μελέτη, το σύστημα θα πρότεινε την έγκαιρη παρέμβαση για 18 από τους 22 (82%) όζους που στη συνέχεια επιβεβαιώθηκαν ως καρκινικοί.
«Σύμφωνα με αυτά τα αρχικά αποτελέσματα, το μοντέλο μας φαίνεται να εντοπίζει με ακρίβεια τους καρκινικούς μεγάλους πνευμονικούς όζους», δήλωσε ο Χάντερ. «Στη συνέχεια, σκοπεύουμε να δοκιμάσουμε την τεχνολογία σε ασθενείς με μεγάλους πνευμονικούς όζους για να δούμε αν μπορεί να προβλέψει με ακρίβεια τον κίνδυνο εμφάνισης καρκίνου του πνεύμονα», σημείωσε.
Το μοντέλο Τεχνητής Νοημοσύνης μπορεί επίσης να βοηθήσει τους γιατρούς να λαμβάνουν ταχύτερες αποφάσεις για ασθενείς με ανώμαλους όγκους που επί του παρόντος θεωρούνται μεσαίου κινδύνου.
Η ομάδα τόνισε ότι η μελέτη Libra βρίσκεται ακόμη σε πρώιμο στάδιο και ότι θα χρειαστούν περισσότερες δοκιμές προτού το μοντέλο εισαχθεί στα συστήματα υγειονομικής περίθαλψης. Αλλά τα δυνητικά οφέλη του ήταν σαφή, τόνισαν οι ερευνητές.
ΠΗΓΗ: Guardian / ertnews.gr
