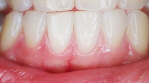
Οι βασικοί κανόνες για να την προλάβετε την ουλίτιδα ΥΓΕΙΑ 01.04.2022Οι βασικοί κανόνες για να την προλάβετε την ουλίτιδα
Από τι κινδυνεύουν όσοι έχουν τη νόσο των ούλων ΥΓΕΙΑ 17.04.2021Από τι κινδυνεύουν όσοι έχουν τη νόσο των ούλων
Συνεχής ροή ΕΙΔΑ-ΑΚΟΥΣΑ 08:00 Ηράκλειο: "Άσπρισαν" από το χαλάζι οι δρόμοι μέσα σε λίγα λεπτά - Φωτογραφίες
ΚΡΗΤΗ 07:05 Υπόθεση Μεσσαράς: αρνείται ότι βίασε τις κόρες του και ότι είναι ο πατέρας του μωρού που γεννήθηκε
ΚΡΗΤΗ 11.01.2026 - 22:35 Τραγωδία στη Βιάννο: "Το κυνήγι ήταν η ζωή του", λέει ο θείος του 27χρονου Στέλιου